16027 Brookhurst St., Ste. K
Fountain Valley, CA 92708
ph: 714-775-0100
fax: 714-463-2205
drhungvu
Extremely Crowded
The following are examples of extremely crowded cases. In these cases, the premolars are sacrified to make room for other teeth because they are less important.
Case 1 14-y.o. Asian female
The upper right central incisor and lateral incisor form 2 rows. It would be a fatal mistake to extract either one of these two. It might be the case if the patient has no access to the correct orthodontic treatment. In this case, the 1st premolars are removed. Initial and some progress data are presented in Figs. 1-5.
Fig. 1 Upper right central and lateral incisors, forming double rows -- front view
© Copyright 2007-2014, Vu Orthodontics. All rights reserved.
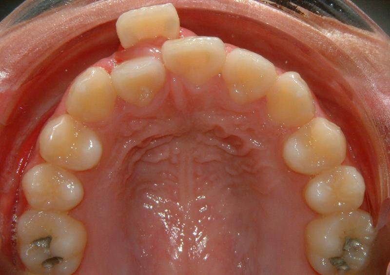
Fig. 2 Upper right central and lateral incisors, forming double rows -- occlusal view
© Copyright 2007-2014, Vu Orthodontics. All rights reserved.
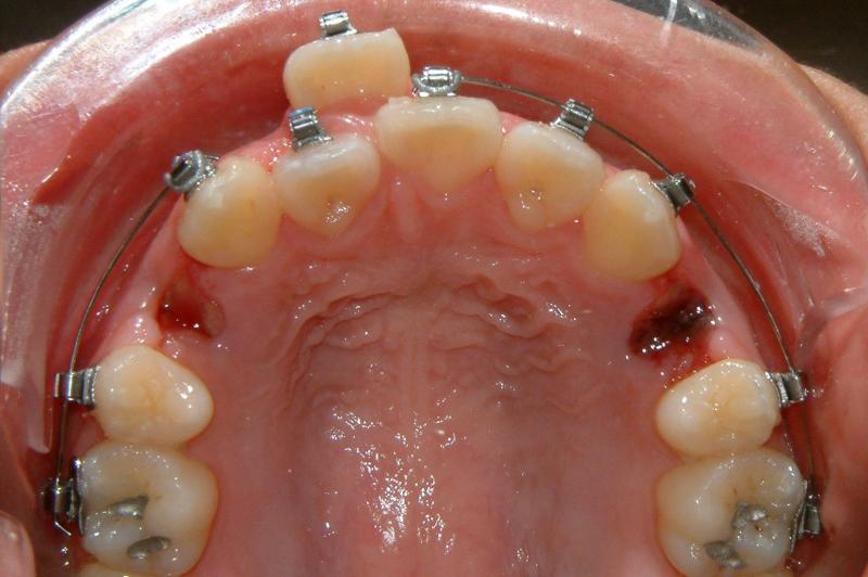
Fig. 3 The upper 1st premolars are sacrified -- occlusal view
© Copyright 2007-2014, Vu Orthodontics. All rights reserved.
Fig. 4 Problem resolved after 20 months (progress) -- front view
© Copyright 2007-2014, Vu Orthodontics. All rights reserved.
Fig. 5 Problem resolved after 20 months (progress) -- occlusal view
© Copyright 2007-2014, Vu Orthodontics. All rights reserved.
© Copyright 2007-2014, Vu Orthodontics. All rights reserved.
Serving communities: Orange County, Fountain Valley, Huntington Beach, Westminster, Garden Grove, Anaheim, Santa Ana, Buena Park, Tustin, Costa Mesa, Newport Beach, Irvine, Stanton, Cypress, Seal Beach, Los Alamitos, Fullerton, La Habra, Brea, Yorba Linda, Placentia, Villa Park, Lake Forest, Mission Viejo, Laguna Beach, Laguna Niguel, Laguna Hills; Los Angeles, Long Beach...
16027 Brookhurst St., Ste. K
Fountain Valley, CA 92708
ph: 714-775-0100
fax: 714-463-2205
drhungvu