16027 Brookhurst St., Ste. K
Fountain Valley, CA 92708
ph: 714-775-0100
fax: 714-463-2205
drhungvu
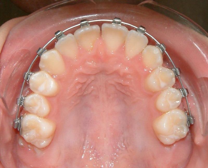
Intra-oral photos of the intial and progress are shown. The brackets are self-ligation: SPEED
Phase I: mixed dentition, typically, 7-9 y.o.
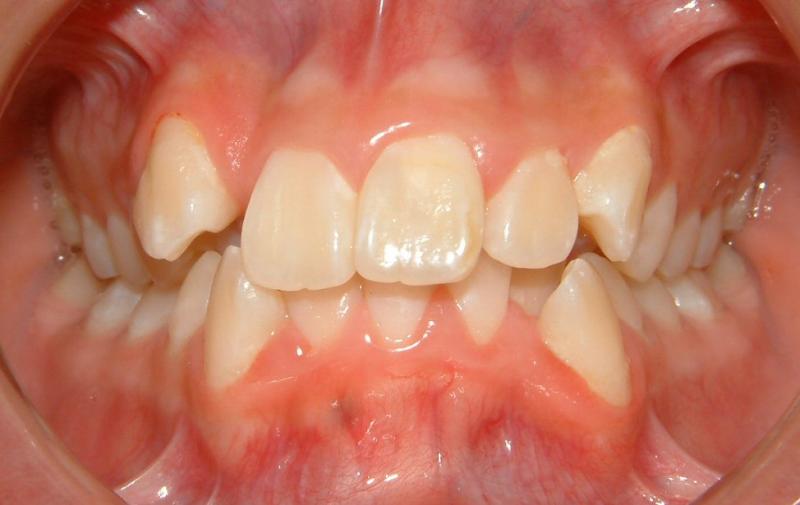
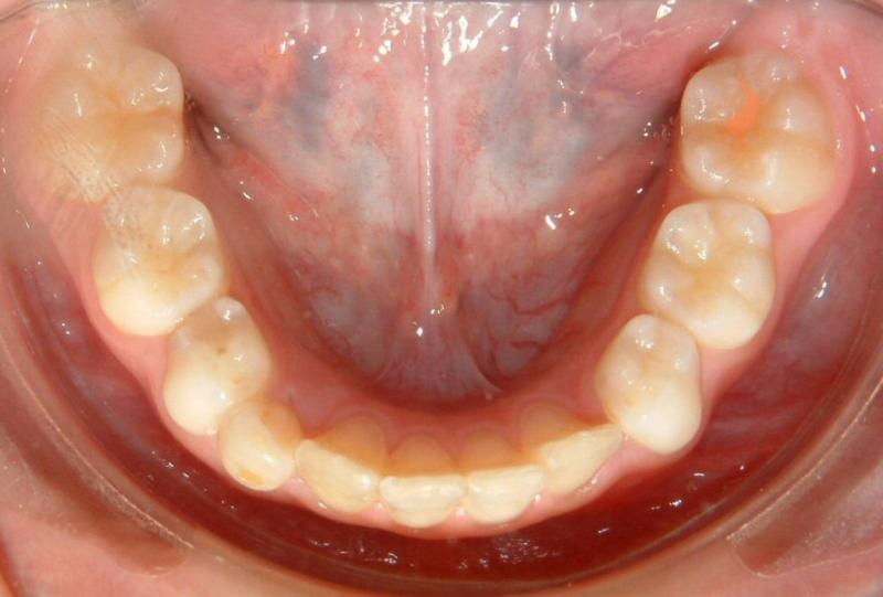
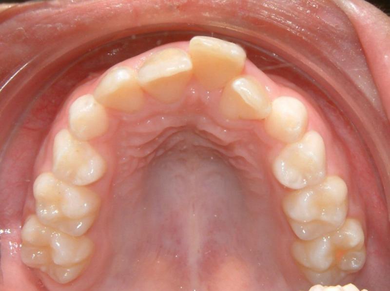
The following is an example (Case 1) of Phase I
Case 1:
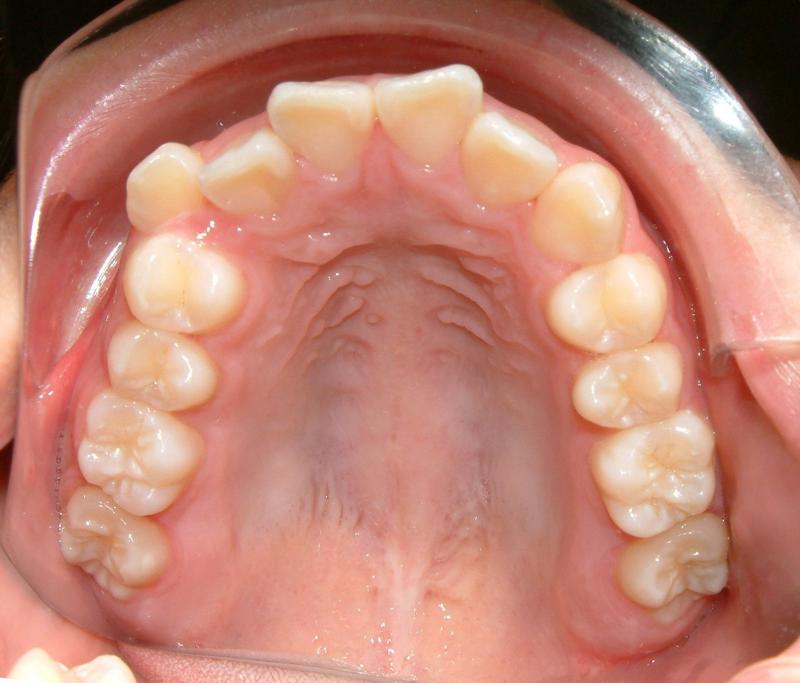
Fig. 1a. Initial (upper)
© Copyright 2007-2014, Vu Orthodontics. All rights reserved.
Fig. 1b. Progress (10 month, upper)
© Copyright 2007-2014, Vu Orthodontics. All rights reserved.
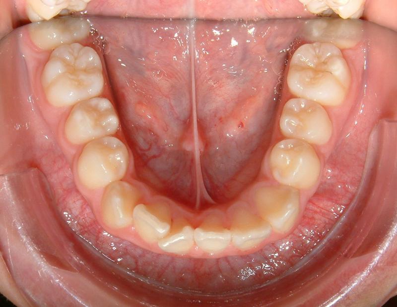
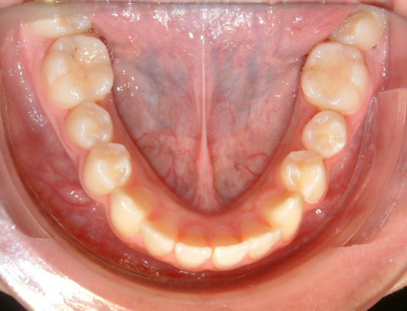
Fig. 1c. Initial (lower)
© Copyright 2007-2014, Vu Orthodontics. All rights reserved.
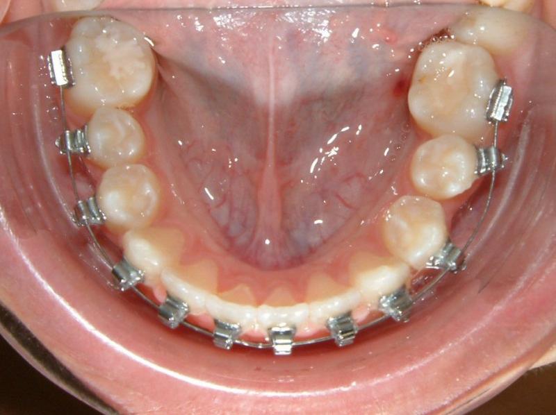
Fig. 1d. Progress (10 month, lower)
© Copyright 2007-2014, Vu Orthodontics. All rights reserved.
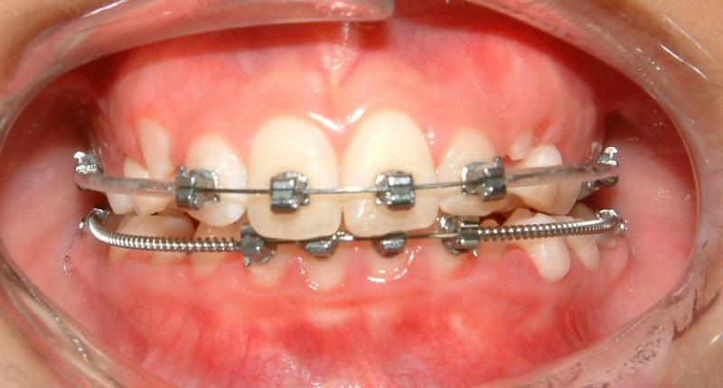
Fig. 1e. Initial (front)
© Copyright 2007-2014, Vu Orthodontics. All rights reserved.
Fig. 1f. Progress (10 month, front)
© Copyright 2007-2014, Vu Orthodontics. All rights reserved.
Full: permanent dentition, typically, older than 11 y.o.
The following are examples (Cases 2-5) of full cases with moderate crowding.
The initial wire is 0.016" NiTi Supercable. The beauty of our way of treatment are:
Case 2
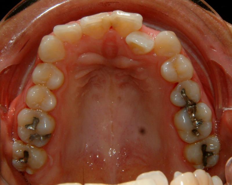
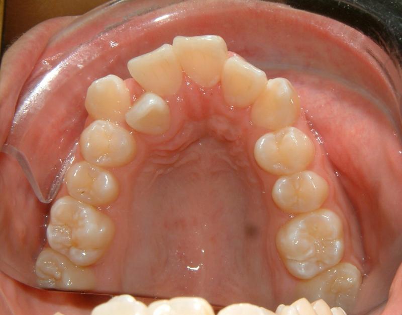
Fig. 2a. Initial (upper)
© Copyright 2007-2014, Vu Orthodontics. All rights reserved.
Fig. 2b. Progress (9 mo., upper)
© Copyright 2007-2014, Vu Orthodontics. All rights reserved.

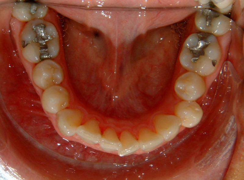
Fig. 2c. Initial (lower)
© Copyright 2007-2014, Vu Orthodontics. All rights reserved.
Fig. 2d. Progress (9 mo., lower)
© Copyright 2007-2014, Vu Orthodontics. All rights reserved.
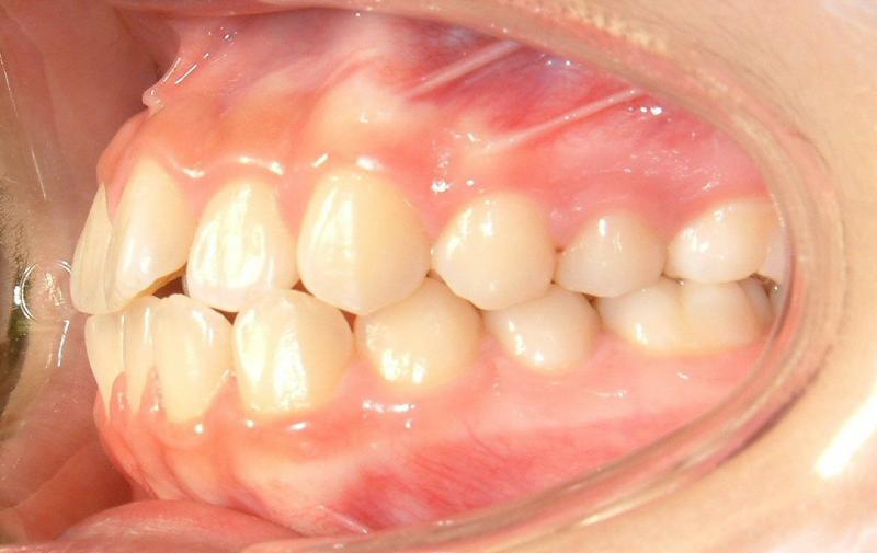
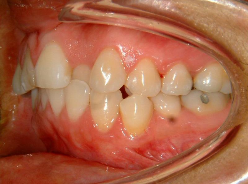
Fig. 2e. Initial (right)
© Copyright 2007-2014, Vu Orthodontics. All rights reserved.
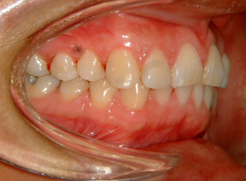
Fig. 2f. Progress (9 mo., right)
© Copyright 2007-2014, Vu Orthodontics. All rights reserved.
Fig. 2g. Initial (left)
© Copyright 2007-2014, Vu Orthodontics. All rights reserved.
Fig. 2h. Progress (9 mo., left)
© Copyright 2007-2014, Vu Orthodontics. All rights reserved.
Case 3
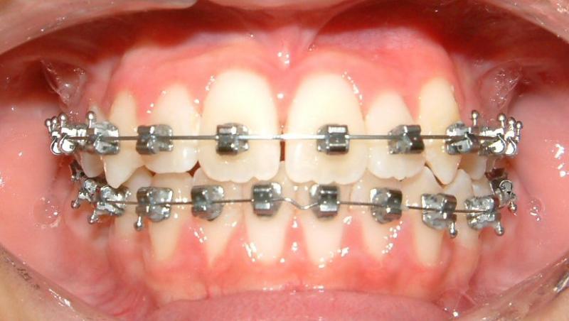
Fig. 3a. Initial (front)
© Copyright 2007-2014, Vu Orthodontics. All rights reserved.
Fig. 3b. Progress (8 mo., front)
© Copyright 2007-2014, Vu Orthodontics. All rights reserved.
Fig. 3c. Progress (11 mo., front)
© Copyright 2007-2014, Vu Orthodontics. All rights reserved.
Fig. 3d. Initial (upper)
© Copyright 2007-2014, Vu Orthodontics. All rights reserved.
Fig. 3e. Progress (8 mo., upper)
© Copyright 2007-2014, Vu Orthodontics. All rights reserved.
Fig. 3f. Initial (lower)
© Copyright 2007-2014, Vu Orthodontics. All rights reserved.
Fig. 3g. Progress (8 mo., lower)
© Copyright 2007-2014, Vu Orthodontics. All rights reserved.
Case 4
Fig. 4a. Initial (upper)
© Copyright 2007-2014, Vu Orthodontics. All rights reserved.
Fig. 4b. Progress (1 year, upper)
© Copyright 2007-2014, Vu Orthodontics. All rights reserved.
Fig. 4c. Initial (lower)
© Copyright 2007-2014, Vu Orthodontics. All rights reserved.
Fig. 4d. Progress (1 year, lower)
© Copyright 2007-2014, Vu Orthodontics. All rights reserved.
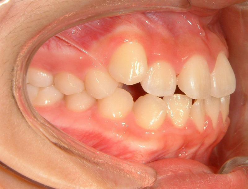
Fig. 4e. Initial (right)
© Copyright 2007-2014, Vu Orthodontics. All rights reserved.
Fig. 4f. Progress (1 year, right)
© Copyright 2007-2014, Vu Orthodontics. All rights reserved.
Fig. 4g. Initial (left)
© Copyright 2007-2014, Vu Orthodontics. All rights reserved.
Fig. 4h. Progress (1 year, left)
© Copyright 2007-2014, Vu Orthodontics. All rights reserved.
Case 5
Fig. 5a. Initial (upper)
© Copyright 2007-2014, Vu Orthodontics. All rights reserved.
Fig. 5b. Progress (20 mo., upper)
© Copyright 2007-2014, Vu Orthodontics. All rights reserved.
Fig. 5c. Initial (lower)
© Copyright 2007-2014, Vu Orthodontics. All rights reserved.
Fig. 5d. Progress (17 mo., lower)
© Copyright 2007-2014, Vu Orthodontics. All rights reserved.
Fig. 5e. Initial (front)
© Copyright 2007-2014, Vu Orthodontics. All rights reserved.
Fig. 5f. Progress (20 mo., front)
© Copyright 2007-2014, Vu Orthodontics. All rights reserved.
© Copyright 2007-2014, Vu Orthodontics. All rights reserved.
Serving communities: Orange County, Fountain Valley, Huntington Beach, Westminster, Garden Grove, Anaheim, Santa Ana, Buena Park, Tustin, Costa Mesa, Newport Beach, Irvine, Stanton, Cypress, Seal Beach, Los Alamitos, Fullerton, La Habra, Brea, Yorba Linda, Placentia, Villa Park, Lake Forest, Mission Viejo, Laguna Beach, Laguna Niguel, Laguna Hills; Los Angeles, Long Beach...
16027 Brookhurst St., Ste. K
Fountain Valley, CA 92708
ph: 714-775-0100
fax: 714-463-2205
drhungvu